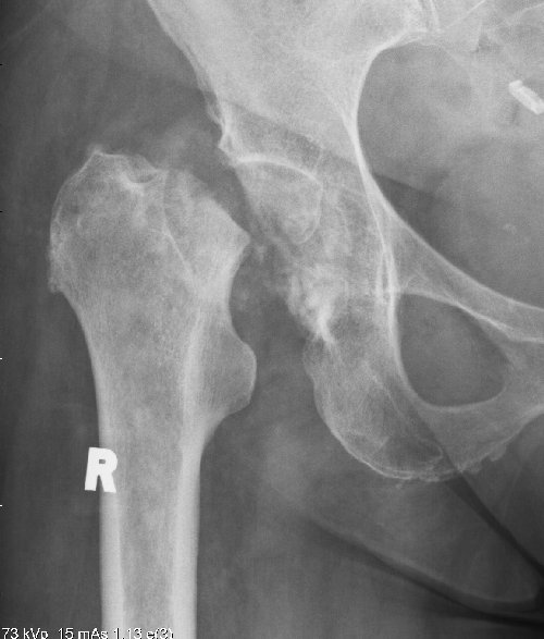
Avascular Necrosis


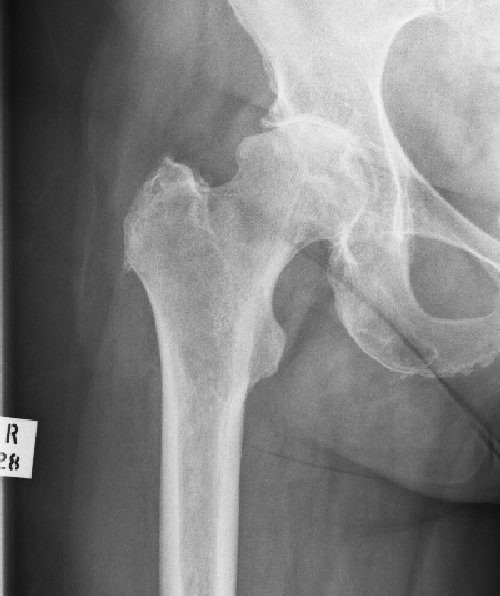
This is a condition caused by a failure of the blood supply to a part, or the whole, of the femoral head. As the bone is exposed to daily trauma it cannot regenerate and may start to collapse. The extent of the collapse is variable, healing will solidify the head but may lead to a mis-shapen head and therefore early osteoarthritis.


In extreme cases the whole femoral head may fragment and the bone dissolves away.


31/03/2011

27/05/2011 - Not operated upon!


In most cases no cause can be found for AVN of the hip, these are termed idiopathic AVN. Where an underlying cause can be found the condition is termed secondary AVN.


We see AVN secondary to osteoarthritis of the hip in about 1/300 patients, often causing a rapid deterioration after the initial diagnosis of osteoarthritis.


Most patients with significant AVN of the hip joint will need a total hip replacement, either as a primary treatment or later in life.



© Mr Gavin Holt :: CotswoldClinics.com :: Print this frame